15.12.23 | Estudo de Caso ou Education | Alessandro Mazzola | Tempo de leitura aproximado:
Parâmetros TR e TE: o que são e o que fazem na RM
"Sabendo que TR em 500 tem maior contraste com a água, tem 600 aproximadamente com proteína e até 800 bom contraste com a gordura, ao conversar com um dos médicos radiologistas o mesmo prefere que estejam de 400 a 500, pois vamos ter maior diferenciação de sangue e água. Isso se aplica a todos os protocolos?"
Esta dúvida surgiu no Pergunte ao MRIONLINE. Para respondê-la, vamos relembrar alguns parâmetros fundamentais de RM, como TR e TE.

Fig. 1 - Os parâmetros TR e TE são trabalhados em conjunto.
O que são TR e TE?
Vamos do início:
- T: a letra T se refere a tempo ou a um intervalo de tempo, medido em milissegundos (ms);
- R: a letra R significa repetição, então TR é tempo de repetição;
- E: a letra E significa eco, então TE é tempo de eco.
A imagem de RM não se forma a partir de um único eco coletado. É preciso receber ou coletar várias vezes o mesmo sinal que vem de um corte do corpo do paciente para que, ao final de uma dada quantidade de ecos coletados, seja possível reconstruir uma imagem com a qualidade desejada.
A RM se caracteriza pela repetição.
Repetir todo o processo de forma igual várias vezes até coletar sinal total suficiente para gerar uma imagem. Esse conjunto de sinais que são coletados no espaço K e cada linha dele será preenchida com um eco coletado (sinal). Portanto:
- Tempo de eco (TE) na prática é o tempo entre a aplicação do pulso de RF de 90º e o pico do eco (sinal) que será lido na bobina.
- Tempo de repetição (TR) representa o intervalo entre a aplicação do pulso inicial de RF (ou excitação) e o próximo pulso inicial.
Como se aplicam às sequências?

Fig. 2 - Esquema simplificado de uma sequência de pulso Spin Eco (SE)
Diferentes sequências de pulso adotam diferentes estratégias para gerar o eco e para preencher o espaço K. Observe na figura 1 (acima), por exemplo, uma das sequências mais simples: Eco de Spins ou Spin Eco (SE).
Ela se caracteriza pelo envio de um pulso de excitação inicial que joga a magnetização longitudinal para o plano transversal (o chamado pulso de 90°) e por um segundo pulso de RF de 180° que chamamos de pulso de refasagem (reaproximação dos spins).

Fig. 3 - Esquema simplificado de uma sequência de pulso Spin Eco (SE)
Assim sendo, não podemos esquecer duas regras práticas muito mencionadas em livros e aulas:
- TR controla a magnetização longitudinal ou a ponderação T1
- TE controla a magnetização transversal ou a ponderação T2
Como TR e TE se relacionam na formação de imagens?
Podemos controlar com o TR em que momento iremos aplicar o próximo pulso de RF de 90°. Isto porque ao interferirmos no tempo interferimos na quantidade de magnetização que retornará ao eixo longitudinal. Se esse tempo for mais curto (menor TR), somente a quantidade de magnetização que retornou ao eixo longitudinal será agora jogada para o plano transversal novamente, em um novo pulso. Este processo está relacionado ao que chamamos de relaxação T1.

Fig. 4 - Como o operador pode controlar TR e TE.
Já o TE relaciona-se com a relaxação T2, caracterizada pela redução da quantidade de magnetização total no plano transversal. A partir do lançamento do pulso inicial, os spins iniciam um processo de defasagem e de retorno para o eixo longitudinal. Ao decidirmos aplicar um pulso de 180º estaremos estabelecendo a quantidade de relaxação T2.
- Aplicação mais demorada de pulso 180º (TE longo) = mais relaxação T2;
- Aplicação mais rápida de pulso 180º (TE curto) = menos relaxação T2.
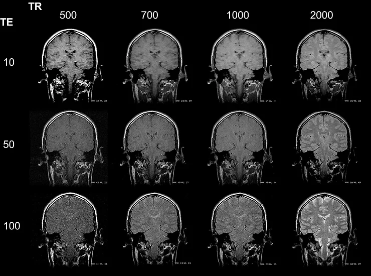
Portanto, os parâmetros TR e TE estão diretamente relacionados no processo de formação de imagens, interferindo no contraste e na qualidade das imagens dos diferentes tipos de tecidos e elementos do corpo humano. Confira os resultados de diferentes interações entre TR e TE:

Fig. 5 - Diferentes aplicações de TR e TE geram diversos resultados de contraste.
- TR curto e um TE curto produzem uma imagem ponderada em T1 (Ex. TR = 500 ms e TE = 10ms), ou seja, mostra melhor as diferenças de relaxação T1 entre os tecidos;
- TR longo e um TE longo produzem uma imagem ponderada em T2, ou seja, é a informação da diferença na relaxação T2 que mais influenciará a geração de sinal na bobina.
Então um TR de 400 a 500 tem maior diferenciação de sangue e água em todos os protocolos?
Os tempos de relaxação variam de acordo com os tecidos, também devendo ser observadas as particularidades das sequências.
Nesta faixa de valores - 400 a 500 - o contraste entre os tecidos mencionados acima é muito bom, resultando em imagens ponderadas em T1 SE ou FSE de ótima qualidade em relação ao contraste. Lembrando que é preciso que, nestes casos, o tempo de eco (TE) seja o mais baixo possível (TE mínimo), pois com isso não haverá ou será mínima a participação do processo de relaxação transversal desses tecidos no sinal coletado para gerar as imagens. Portanto, não podemos dizer que isso se aplica a todos os protocolos, pois em outras sequências de pulso como as Gradiente Eco ou mesmo as com uso de pulso de inversão (FLAIR, STIR etc), essas relações de contraste se modificam devido a outros parâmetros envolvidos e forma de aplicação dos pulsos de RF e gradientes de campo magnético associados.
Neste link está um artigo que fala mais sobre esse assunto, detalhando os mecanismos de relaxação e sua relação com o TR e TE.
Para ler mais conteúdos como este,
assine MRIONLINE
