01.10.24 | Notícias e Curiosidades | Tempo de leitura aproximado:
Melhorando a Eficiência e a Qualidade dos Exames de Ressonância Magnética: Um Caso de Sucesso com a Unimed Chapecó e MRIONLINE
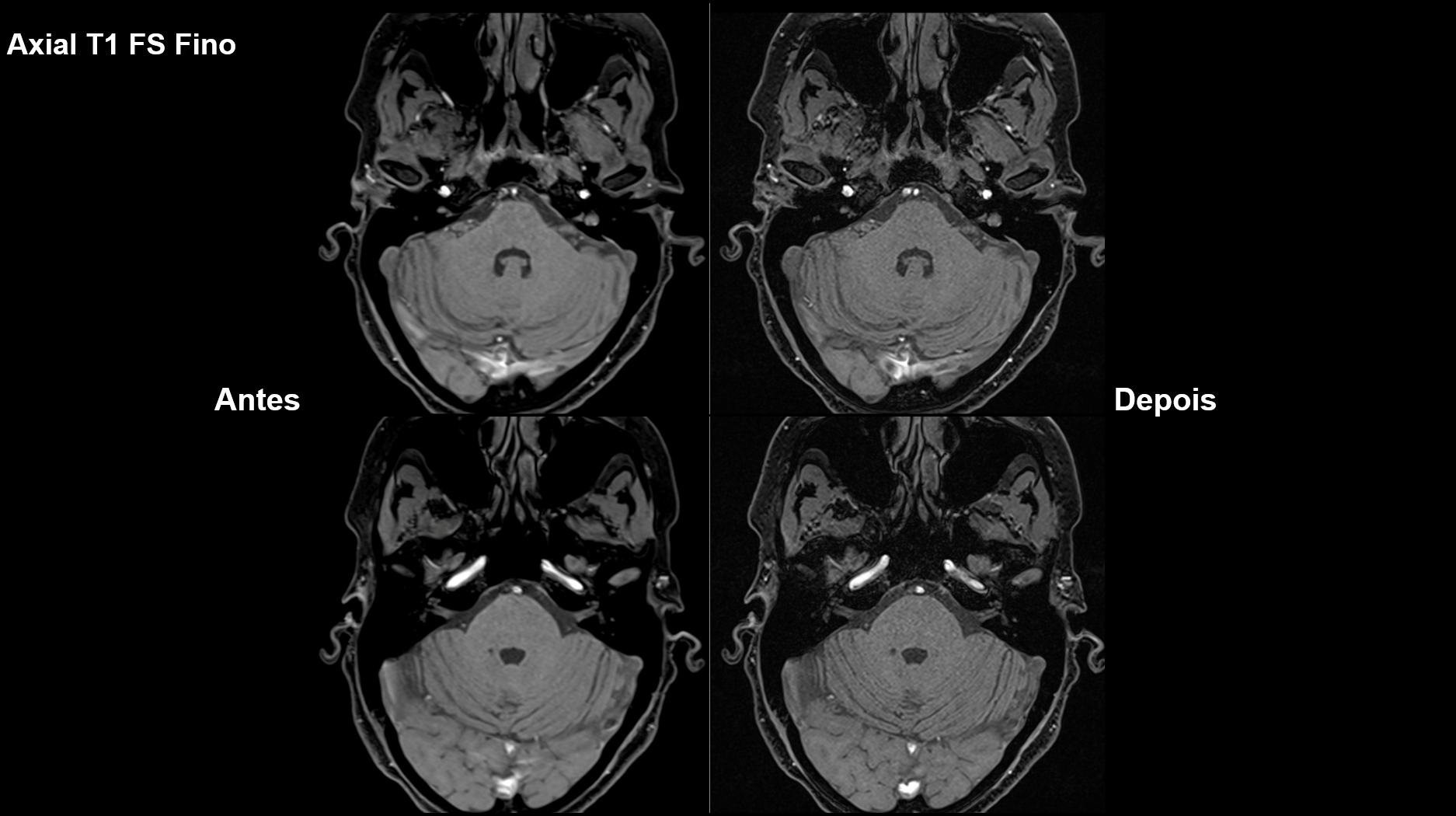
Exames realizados em menor tempo, com a mesma qualidade
Como o MRIONLINE tem ajudado clínicas e hospitais? Relato de caso da Unimed Chapecó.

Novos protocolos disponíveis no setor de Imagem da Unimed Chapecó proporcionam maior conforto e segurança ao paciente
O exame de ressonância magnética, a depender da área a ser analisada, pode levar tempo e ser até desconfortável para o paciente. Alinhado às tecnologias mais avançadas, presentes nos maiores centros de saúde do país, a Unimed Chapecó disponibiliza mais uma facilidade para quem necessita dos serviços do setor de Imagem. Graças a novos protocolos, que estão em fase de implementação, agora os exames de ressonância são realizados em menor tempo, sem perder a principal característica: a qualidade.
Para poder proporcionar isso aos clientes, a Unimed conta com a consultoria do físico médico Alessandro Mazzola, da empresa MRIONLINE. Com o objetivo de sempre melhorar a qualidade da imagem e aumentar a produtividade dos exames, há anos a cooperativa médica conta com a visão do profissional, que é referência na área. "Também existe uma neces- sidade cada vez maior de se fazer mais exames para atender toda a comunidade. A cidade vem crescendo e isso faz parte desse trabalho", ressalta.

Coordenador de radiologia da Unimed Chapecó, Daniel Gambatto Giacon, físico médico Alessandro Mazzola, supervisor técnico em radiologia, Diogo Joel Simon, e técnico em radiologia da Cooperativa Médica, Mateus Farias.
Melhoria para todos
A parte de otimização dos protocolos, realizada agora, vem também com o intuito de ter mais tempo disponível de agenda para os pacientes, para que eles não precisem esperar para serem atendidos. "Existem protocolos que estão nos equipamentos, que vão permitir fazer todos os exames que são solicitados. Mas na ressonância magnética, por ser uma técnica que está em constante evolução, sempre surge alguma coisa nova. Então, essas novidades e o melhor uso dos recursos do equipamento também estão sendo ajustados, para que tenhamos não só o exame completo, mas que permite, também, diagnosticar outras doenças".
Mazzola destaca que essa novidade auxilia todos os envolvidos, desde o paciente, que vai poder ficar menos tempo no aparelho, até o médico radiologista, que vai receber as imagens e poder chegar a uma conclusão mais rápida, e o médico solicitante, que vai ter um laudo daquele caso de forma mais precisa. "Beneficia, também, do ponto de vista da estrutura da Unimed, porque faz bom uso dos recursos que estão aqui instalados. Em termos de produtividade, estamos trabalhando para aumentar cerca de 30% após esse trabalho", completa.
Qualidade em primeiro lugar
Conforme o médico radiologista e responsável técnico do Centro de Diagnóstico por Imagem da Unimed Chapecó, Dr. Rafael Agnolin, a busca por otimização de recursos, processos e produtos é algo que faz parte da rotina do setor. Por isso, junto com Mazzola, iniciou esse processo de melhoria nos protocolos. "Essa implementação é gradual. Ao longo do tempo foram feitas muitas melhorias, mas agora, de uma forma mais robusta, revisamos todos os protocolos e aproveitamos a grande experiência que o físico tem. E o mais importante é poder disponibilizar isso para os nossos clientes, que são os maiores beneficiários".
Dr. Rafael reforça que todo esse esforço é justamente para que os pacientes não precisem se deslocar até outras cidades para ter exames com a mais alta qualidade. Aqui, ele terá à disposição tudo que existe em relação a exames com diagnósticos precisos. "Isso é base para a gente melhorar para o paciente. Ele vai ter um diagnóstico com qualidade e não precisará buscar fora. Agora conseguimos um exame mais rápido, porque, por natureza, a ressonância é um exame um pouco mais demorado, mas conseguimos otimizar esse tempo". Essa é mais uma iniciativa para tornar a experiência do paciente ainda melhor, com a qualidade que só a Unimed Chapecó oferece. "A qualidade de imagem é diretamente ligada à segurança no diagnóstico, por isso melhoramos o tempo, deixamos o exame mais rápido e com conforto para o paciente, mas nunca iremos abrir mão da qualidade da imagem", finaliza Dr. Rafael.
Melhorias implementadas em alguns exames, comparando antes e depois.

"Essa implementação é gradual. Ao longo do tempo foram feitas muitas melhorias, mas agora, de uma forma mais robusta, revisamos todos os protocolos e aproveitamos a grande experiência que o físico tem. E o mais importante é poder disponibilizar isso para os nossos clientes, que são os maiores beneficiários". Dr. Rafael Agnolin, médico radiologista e responsável técnico do Centro de Diagnóstico por Imagem da Unimed Chapecó.
Artigo retidado da revista Vidamais | Edição 59 / 2023 | Institucional
Como o MRIONLINE Pode Ajudar Sua Clínica ou Hospital
O sucesso da implementação de novos protocolos na Unimed Chapecó serve como exemplo de como a consultoria especializada pode transformar o setor de diagnóstico por imagem de uma clínica ou hospital. O MRIONLINE, com sua equipe de especialistas, oferece soluções customizadas para otimizar protocolos, melhorar a qualidade da imagem e aumentar a produtividade dos exames de ressonância magnética.
Seja através de treinamentos, consultoria direta ou atualizações de protocolos, nossa equipe está pronta para ajudar sua clínica a alcançar resultados semelhantes, oferecendo aos pacientes um serviço de qualidade e, ao mesmo tempo, otimizando os processos internos.
O trabalho realizado com a Unimed Chapecó demonstra o impacto positivo que a consultoria especializada pode ter em uma clínica de imagem. O MRIONLINE se dedica a trazer melhorias contínuas ao setor de diagnóstico por imagem, oferecendo suporte técnico, atualização de protocolos e treinamentos de ponta. Se sua clínica ou hospital busca otimizar os serviços de ressonância magnética e melhorar a qualidade de atendimento aos pacientes, conte com o MRIONLINE para levar sua operação ao próximo nível.
Entre em contato conosco para saber mais sobre como podemos ajudar sua equipe a alcançar esses resultados!
Chame-nos em nosso whatsapp clicando aqui
Ou envie um e-mail para contato@mrionline.com.br